The Coxofemoral Joint Dog: Everything You Need to Know About Your Dog's Hip
If you have ever watched your dog run, jump, or enthusiastically wiggle their rear end, you are witnessing the amazing power of their hip structure. The technical term for this critical connection is the coxofemoral joint. Understanding the anatomy and potential issues related to the Coxofemoral Joint Dog is essential for keeping your furry friend active and comfortable throughout their life.
We know these technical terms can sometimes sound intimidating, but don't worry. We're going to break down exactly what the coxofemoral joint is, why it matters, and the common problems you need to watch out for. Think of this as your friendly guide to canine hip health!
What Exactly is the Coxofemoral Joint Dog?
Simply put, the coxofemoral joint is your dog's hip joint. It is a highly specialized structure classified as a ball-and-socket synovial joint. This design allows for a massive range of motion, which is crucial for everything from a leisurely walk to catching a frisbee mid-air.
The term "coxofemoral" is just a combination of the bones involved. "Coxo" refers to the coxal bone (or pelvis), and "femoral" refers to the femur (the thigh bone). These two pieces fit together perfectly, ideally providing smooth, pain-free movement.
This joint bears a significant amount of the dog's body weight. Therefore, its integrity is paramount for proper locomotion and overall quality of life. When issues arise in the Coxofemoral Joint Dog, mobility is often severely affected.
How the Coxofemoral Joint Works: A Ball-and-Socket Marvel
The ball-and-socket mechanism is one of nature's most effective designs for movement. In dogs, this design ensures powerful propulsion and agility. When the joint is healthy, the surfaces glide against each other effortlessly, thanks to lubrication and protective cartilage.
A functional coxofemoral joint is not just about bones; it's a complex interplay of cartilage, fluid, ligaments, and muscle. Together, these elements absorb shock and distribute forces evenly across the hind limbs.
Key Components of the Hip Joint
To truly appreciate this joint, let's look at the critical parts that make up the structure:
- Femoral Head (The Ball): This is the rounded top portion of the femur that inserts into the socket.
- Acetabulum (The Socket): A deep indentation in the pelvis that cradles the femoral head.
- Articular Cartilage: A smooth, protective tissue covering both the ball and socket, allowing them to slide without friction.
- Joint Capsule and Synovial Fluid: The capsule encloses the joint, holding the lubricating synovial fluid which nourishes the cartilage and acts as a shock absorber.
- Ligament of the Head of the Femur (Round Ligament): A strong, stabilizing ligament connecting the center of the ball to the center of the socket.
Damage or misalignment to any of these components can quickly lead to painful inflammation and reduced function in the Coxofemoral Joint Dog.
Essential Movements Supported by the Joint
Because the hip is a true ball-and-socket joint, it permits movement in almost every direction. This wide range is crucial for canine athleticism.
The primary movements supported by the coxofemoral joint include:
- Flexion and Extension: Bending and straightening the leg, necessary for walking, running, and sitting.
- Abduction and Adduction: Moving the leg away from and toward the midline of the body (think of reaching sideways).
- Rotation: Turning the limb inward or outward.
Any stiffness or reluctance to perform these movements can be an early sign that something is amiss in your dog's hips.
Common Issues Affecting the Coxofemoral Joint
Unfortunately, this powerful joint is highly susceptible to wear, tear, injury, and genetic conditions. Spotting the signs early is the best way to manage discomfort and progression of disease.
Many issues we see are related to conformation—how the joint formed during puppyhood—while others are due to acute trauma or long-term degenerative processes.
Hip Dysplasia: The Most Common Culprit
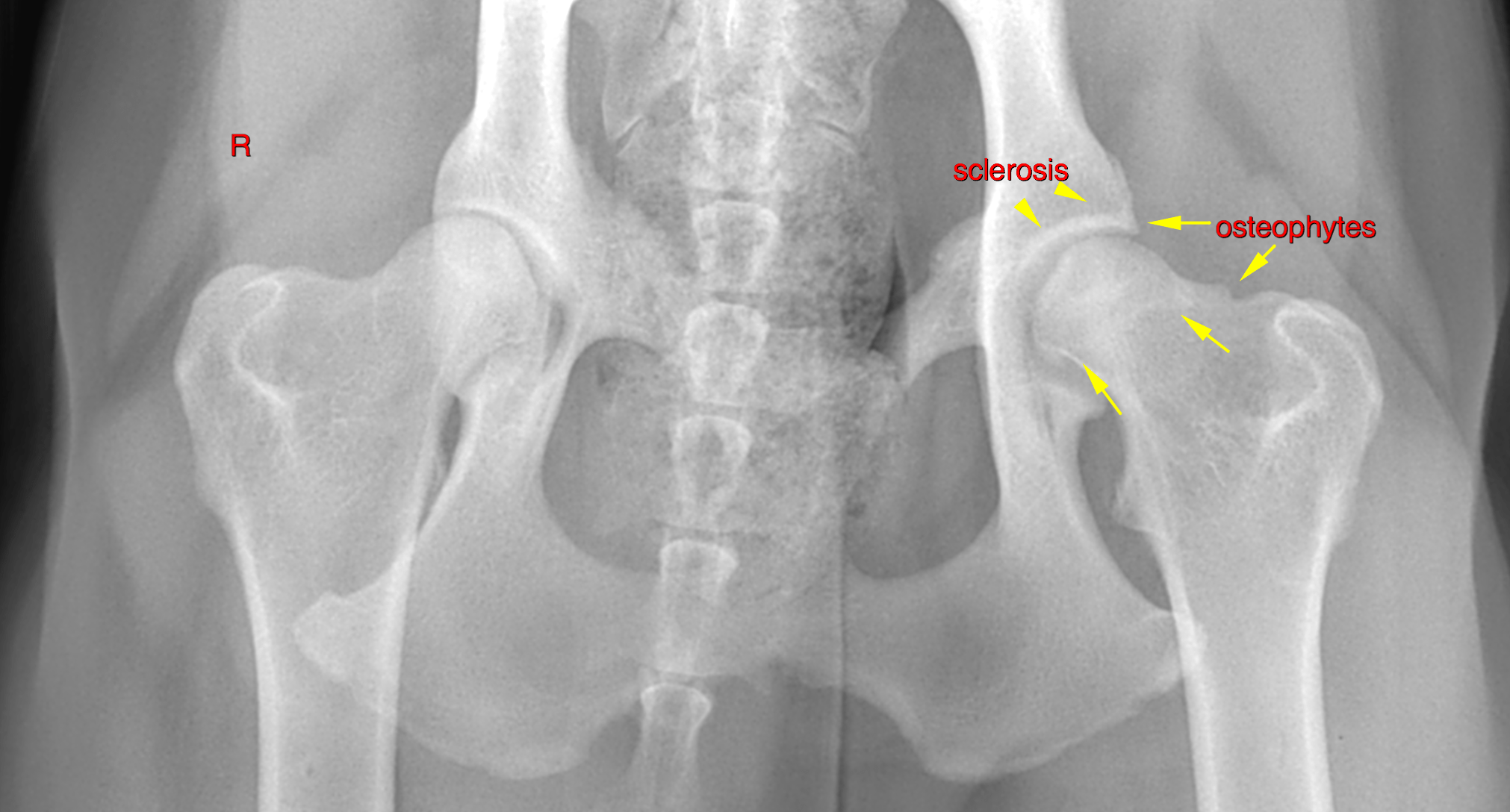
Hip dysplasia is perhaps the most well-known problem associated with the Coxofemoral Joint Dog. It is a hereditary condition where the ball and socket do not fit together properly, leading to laxity (looseness) in the joint.
Over time, this laxity causes the bones to rub and grind, resulting in cartilage deterioration and, eventually, painful osteoarthritis (OA). While common in large breeds like German Shepherds and Labradors, any dog can be affected.
Watch out for these common signs of dysplasia in your pet:
- Reluctance to jump, run, or climb stairs.
- "Bunny hopping" when running (using both hind legs simultaneously).
- Lameness or stiffness, particularly after exercise or rest.
- Narrow stance in the hind legs.
- Loss of muscle mass in the rear legs.
Treatment Options for Dysplasia
Treatment for dysplasia varies based on severity and your dog's age. For mild cases, conservative management involving weight control, anti-inflammatory medications, and joint supplements is often successful. More severe cases may require surgical intervention, such as a Triple Pelvic Osteotomy (TPO) or a Total Hip Replacement (THR).
Less Common but Serious Coxofemoral Injuries
While dysplasia is structural, acute injuries can also compromise the hip. These events often require immediate veterinary attention.
One common traumatic injury is hip luxation, or dislocation. This occurs when the femoral head is forcefully popped out of the acetabulum, usually due to a car accident or a bad fall. It is intensely painful and renders the limb completely non-functional.
Furthermore, fractures of the femoral head or neck can occur. These injuries typically require advanced orthopedic surgery to repair the joint structure and ensure the best chance of functional recovery for the affected Coxofemoral Joint Dog.
Keeping Your Dog's Coxofemoral Joint Healthy
Prevention and management are key when dealing with complex joints like the coxofemoral. Even if your dog has perfect hips now, proper care will minimize future problems.
The best things you can do for your dog's hip health revolve around three main areas: weight, exercise, and nutritional support.
- Maintain a Healthy Weight: This is arguably the most crucial factor. Excess weight dramatically increases stress on the joints, accelerating arthritis and pain. Keeping your dog lean reduces pressure on the acetabulum and femoral head.
- Controlled Exercise: Avoid high-impact, sudden movements, especially in puppies of large breeds. Opt for low-impact activities like swimming or controlled leash walks. Consistency is better than sporadic, intense bursts of activity.
- Consider Joint Supplements: Many veterinarians recommend supplements containing Glucosamine, Chondroitin, and Omega-3 Fatty Acids. These ingredients support the health of the joint cartilage and help reduce inflammation.
- Regular Vet Checkups: Routine physical examinations allow your vet to screen for early signs of joint pain or reduced mobility, leading to earlier intervention.
By being proactive about your dog's weight and activity level, you are significantly increasing the lifespan and comfort of their coxofemoral joint.
Conclusion
The Coxofemoral Joint Dog is a marvel of biomechanical engineering, allowing our canine companions to live their lives with joy and vigor. Whether dealing with a puppy prone to hip dysplasia or a senior dog struggling with arthritis, understanding this joint's function and fragility is the first step toward effective care.
Always stay vigilant for changes in your dog's gait or activity levels. Early detection, paired with proactive management of weight and exercise, provides the best outlook for maintaining a healthy and happy life for your best friend.
Frequently Asked Questions (FAQ) About the Coxofemoral Joint Dog
- What age do hip problems usually start showing up?
- While severe hip dysplasia can be noticeable in puppies as young as 4 to 6 months, milder genetic issues often manifest as stiffness or reluctance to exercise around middle age (5-7 years) when secondary osteoarthritis begins to develop.
- Is surgery always required for coxofemoral joint issues?
- No. Many dogs with mild to moderate hip issues can be managed successfully with conservative methods, including pain medication, anti-inflammatories, physical therapy, and strict weight management. Surgery is generally reserved for severe dysplasia or traumatic injuries like luxation.
- Can exercise make hip dysplasia worse?
- Yes, excessive or uncontrolled exercise, especially high-impact activities like jumping or prolonged running on pavement, can aggravate a loose joint. Low-impact exercise, such as slow walks or hydrotherapy (swimming), is highly beneficial as it builds muscle mass without straining the joint itself.
- What is the prognosis for a dog who undergoes a Total Hip Replacement (THR)?
- The prognosis is generally excellent. THR is considered the gold standard for treating severe hip pain and can completely eliminate pain, allowing the dog to return to a normal, active life.
Coxofemoral Joint Dog
Coxofemoral Joint Dog Wallpapers
Collection of coxofemoral joint dog wallpapers for your desktop and mobile devices.

Amazing Coxofemoral Joint Dog Artwork Illustration
Experience the crisp clarity of this stunning coxofemoral joint dog image, available in high resolution for all your screens.

Captivating Coxofemoral Joint Dog Image Collection
Immerse yourself in the stunning details of this beautiful coxofemoral joint dog wallpaper, designed for a captivating visual experience.

Beautiful Coxofemoral Joint Dog Picture for Desktop
Experience the crisp clarity of this stunning coxofemoral joint dog image, available in high resolution for all your screens.

Exquisite Coxofemoral Joint Dog Background Art
This gorgeous coxofemoral joint dog photo offers a breathtaking view, making it a perfect choice for your next wallpaper.

Captivating Coxofemoral Joint Dog Artwork for Mobile
This gorgeous coxofemoral joint dog photo offers a breathtaking view, making it a perfect choice for your next wallpaper.

Vibrant Coxofemoral Joint Dog Scene Nature
Experience the crisp clarity of this stunning coxofemoral joint dog image, available in high resolution for all your screens.

Dynamic Coxofemoral Joint Dog Design Art
A captivating coxofemoral joint dog scene that brings tranquility and beauty to any device.

Dynamic Coxofemoral Joint Dog Picture in 4K
A captivating coxofemoral joint dog scene that brings tranquility and beauty to any device.

Spectacular Coxofemoral Joint Dog Abstract Art
This gorgeous coxofemoral joint dog photo offers a breathtaking view, making it a perfect choice for your next wallpaper.

Dynamic Coxofemoral Joint Dog Scene Illustration
Find inspiration with this unique coxofemoral joint dog illustration, crafted to provide a fresh look for your background.

High-Quality Coxofemoral Joint Dog Landscape Collection
Discover an amazing coxofemoral joint dog background image, ideal for personalizing your devices with vibrant colors and intricate designs.

Artistic Coxofemoral Joint Dog Photo for Desktop
A captivating coxofemoral joint dog scene that brings tranquility and beauty to any device.

Stunning Coxofemoral Joint Dog Design Digital Art
This gorgeous coxofemoral joint dog photo offers a breathtaking view, making it a perfect choice for your next wallpaper.

Serene Coxofemoral Joint Dog Image in HD
Explore this high-quality coxofemoral joint dog image, perfect for enhancing your desktop or mobile wallpaper.

Artistic Coxofemoral Joint Dog Wallpaper for Your Screen
Find inspiration with this unique coxofemoral joint dog illustration, crafted to provide a fresh look for your background.

Mesmerizing Coxofemoral Joint Dog Wallpaper Digital Art
Discover an amazing coxofemoral joint dog background image, ideal for personalizing your devices with vibrant colors and intricate designs.

Amazing Coxofemoral Joint Dog Background Art
Transform your screen with this vivid coxofemoral joint dog artwork, a true masterpiece of digital design.

Serene Coxofemoral Joint Dog Photo Concept
Discover an amazing coxofemoral joint dog background image, ideal for personalizing your devices with vibrant colors and intricate designs.

Detailed Coxofemoral Joint Dog Picture Concept
Discover an amazing coxofemoral joint dog background image, ideal for personalizing your devices with vibrant colors and intricate designs.

Breathtaking Coxofemoral Joint Dog Landscape for Mobile
Experience the crisp clarity of this stunning coxofemoral joint dog image, available in high resolution for all your screens.
Download these coxofemoral joint dog wallpapers for free and use them on your desktop or mobile devices.